
Na reabilitação com facetas ou coroas é importante realizar um planeamento minucioso que contemple fotografias, vídeo e scanner digital, para que seja concebido o resultado final. Atualmente com Digital Smile Design é possível comunicar com o paciente e com o técnico de laboratório de uma forma ainda mais ágil.

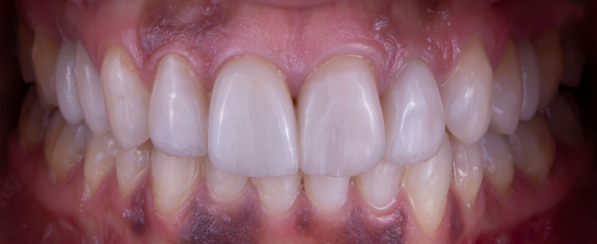
As facetas e coroas cerâmicas são cimentadas com materiais e técnicas que permitem estabilidade ao longo do tempo.

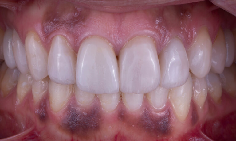
As facetas cerâmicas podem corrigir a forma, posição e cor dos dentes, conferindo uma aparência e brilho natural.

Os preparos dentários para a cimentação de facetas cerâmicas visam sempre a optimização do desgaste, por forma a preservar o máximo de estrutura dentária possível.