
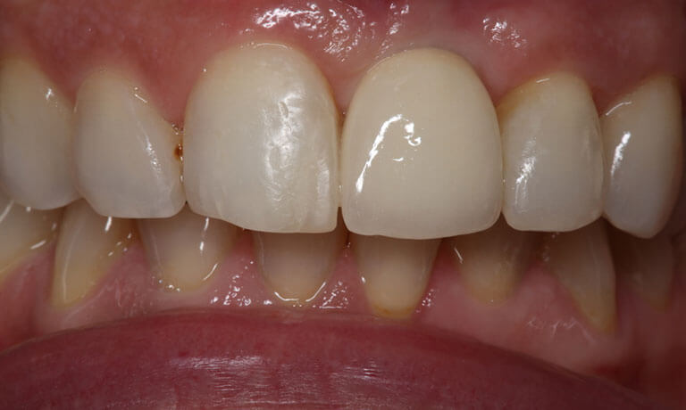
Os implantes substituem dentes que foram perdidos, restabelecendo a estética, forma e função.

A cirurgia de colocação de implantes é feita de forma indolor recorrendo a anestesia local.

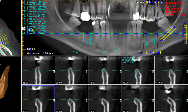
A cirurgia de implantes é planeada por uma equipa especializada por meios tecnológicos avançados de forma a proporcionar o melhor tratamento.

Durante o planeamento é realizada uma análise detalhada no que concerne a quantidade/qualidade do osso do paciente. Caso haja necessidade é possível colocar osso artificial para correção do defeito ósseo.

Os implantes dentários devem ser vigiados e higienizados de 6/6 meses, na consulta de higiene oral.