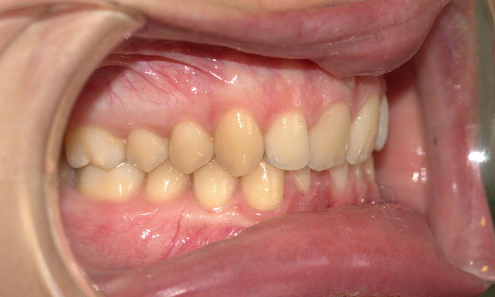
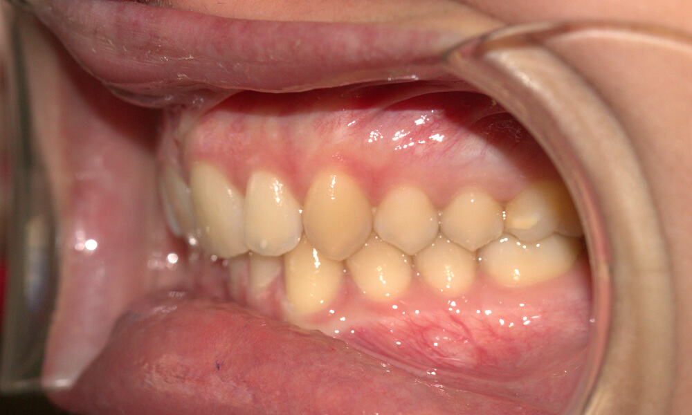
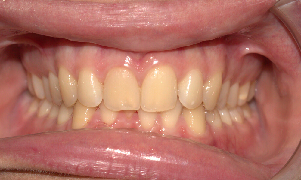
Caso clínico 12

Caso Clínico de mordida profunda tratado com alinhadores transparentes Invisalign® e branqueamento externo no final.

Outros Casos Clínicos