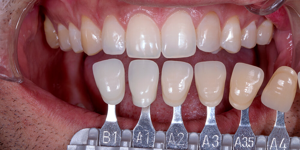
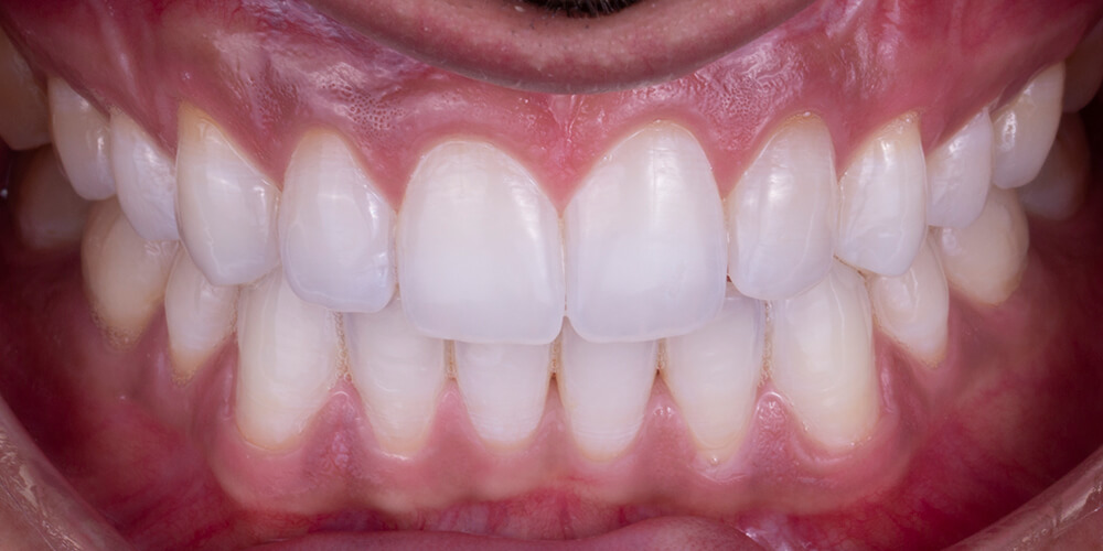
Caso clínico 24

Caso clínico de branqueamento dentário em paciente após tratamento ortodôntico.

Outros Casos Clínicos