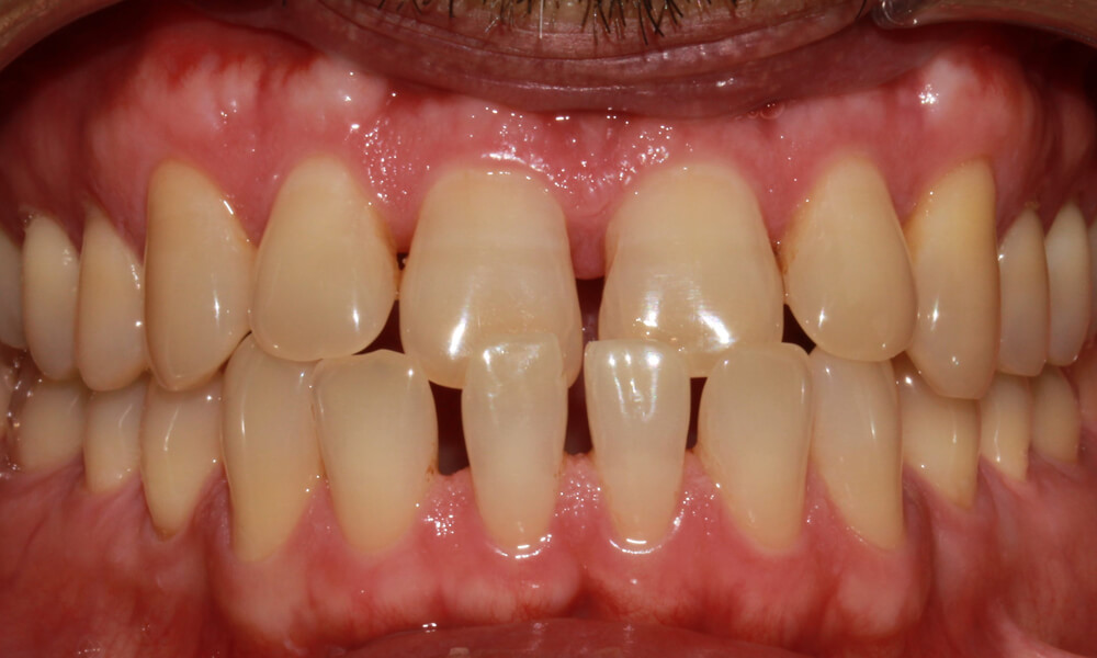
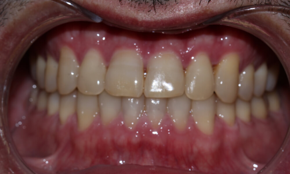
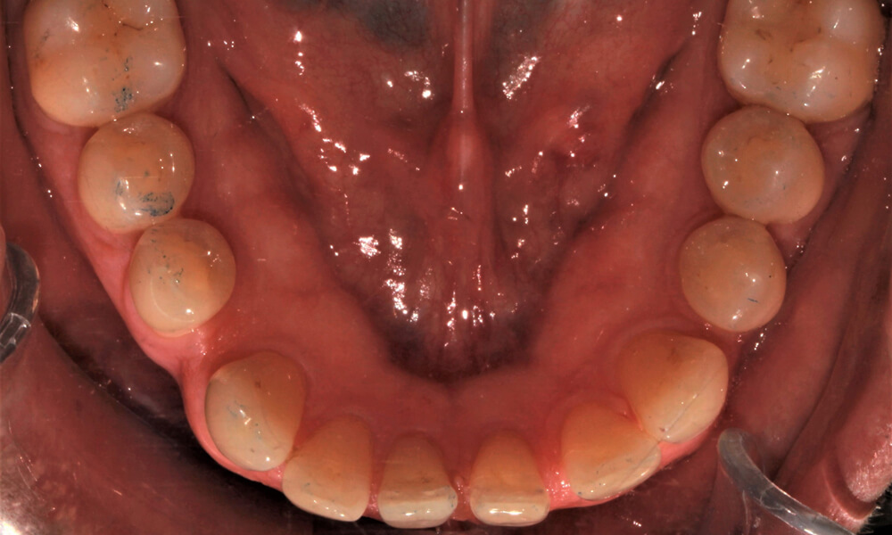
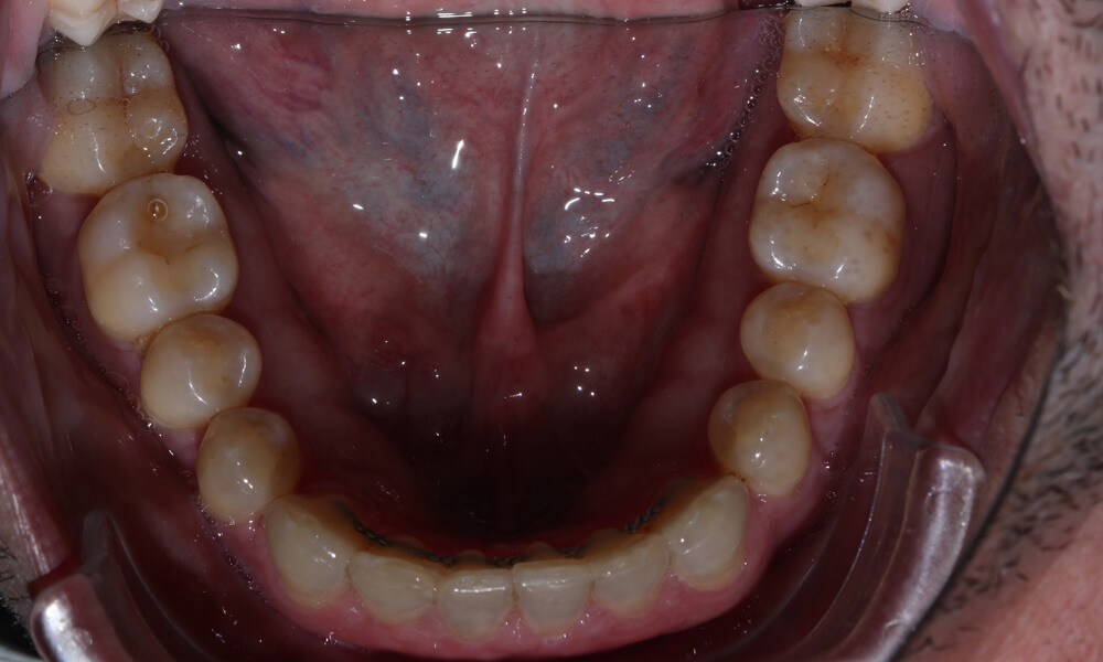
Mais um caso clínico de Invisalign®. Paciente com mordida cruzada anterior e diversos diastemas. O tratamento permitiu a correção desta má oclusão, a obtenção de uma função correta e de um sorriso ideal que transformou a fisionomia do paciente.

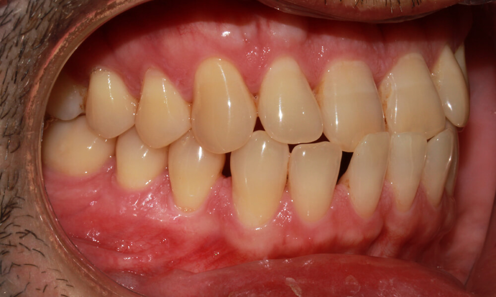
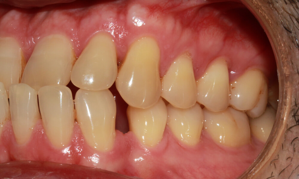
Mais um caso clínico de Invisalign®. Paciente com mordida cruzada anterior e diversos diastemas. O tratamento permitiu a correção desta má oclusão, a obtenção de uma função correta e de um sorriso ideal que transformou a fisionomia do paciente.












