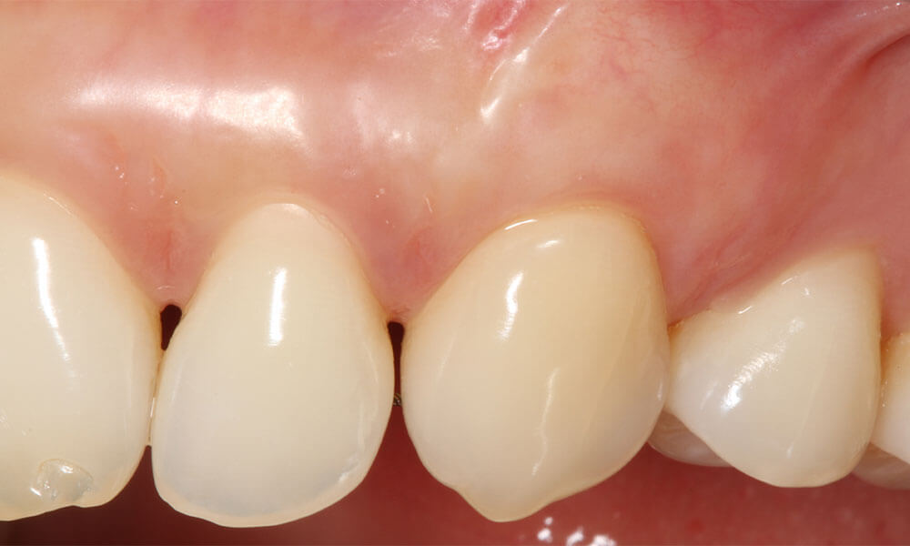
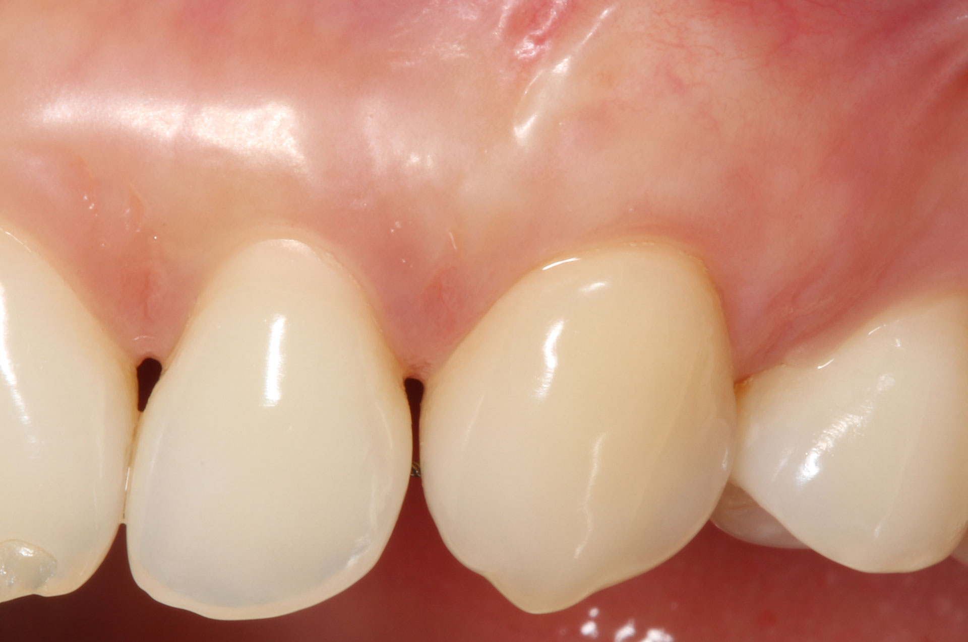
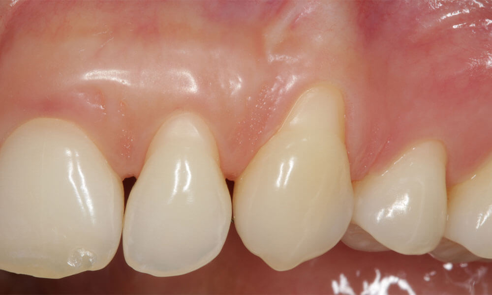
Caso clínico 9

Cirurgia de recobrimento radicular com enxerto, para correção do nível da gengiva e da exposição da raiz dentária.

Outros Casos Clínicos