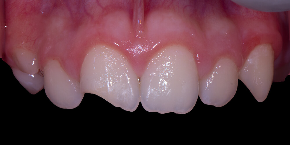
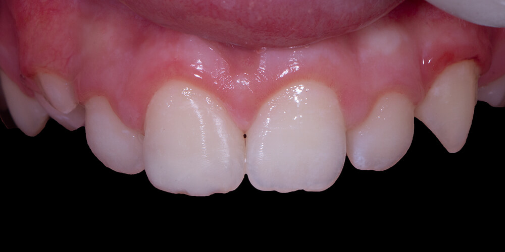
Caso clínico 21

Caso clínico de trauma, onde se realizou restauração estética com resina composta.

Outros Casos Clínicos