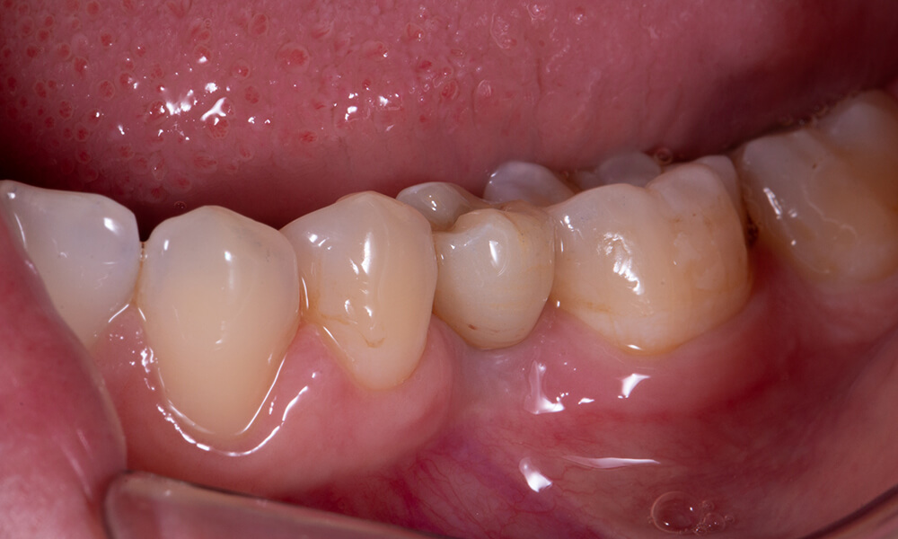
Caso clínico 19

Caso clínico de reabilitação com implante dentário unitário inferior.

Outros Casos Clínicos