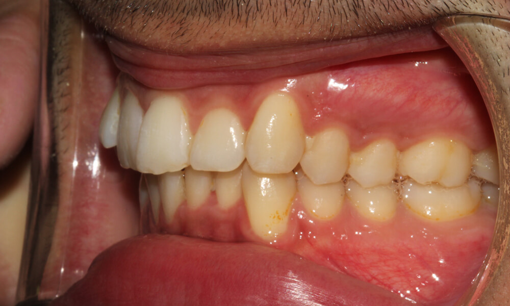
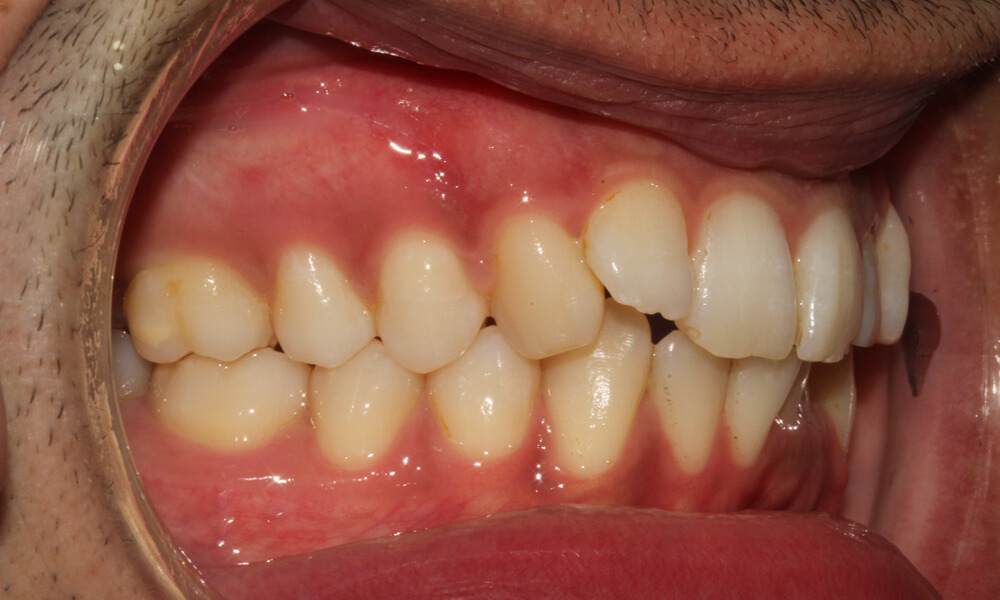
Caso clínico 13

Mais um caso clínico de Invisalign® que envolveu aumento transversal das duas arcadas visando a correção da oclusão e obtenção de um sorriso harmonioso.

Outros Casos Clínicos